Veneers
Veneers are custom-made, custom-fitted, very thin pieces of porcelain which are bonded to your natural teeth. Veneers are an excellent way to correct minor tooth anomalies such as chips, stained or discolored teeth, and to alter length or size of the teeth with minimized risk to your natural tooth structure.
The procedure can usually be accomplished in two appointments. At the first appointment, the teeth will be prepared, which is a matter of taking away a small amount of tooth structure, shaping the teeth, and taking an impression of the prepared teeth. The impression is then sent to a specialized laboratory where the veneers are hand-crafted by technicians whose art and skill is creating restorations that look and feel like natural teeth. Dr Tapia will also take digital photographs of your teeth to accurately communicate the color to the laboratory. In additionDr Tapia will fabricate acrylic temporary veneers which will be temporarily cemented in place for approximately three weeks while the laboratory fabricates the final restorations. Not only are these a temporary esthetic solution, they are also fabricated to help communicate the new size, shape and form of the teeth. At the second appointment, your new veneers will be bonded in place and your “new” smile completed.Advantages of a dental veener
- Improves the appearance of stained,discolored,misshapen,or slightly crooked teeth
- Can be made from materials such as porcelain or composite resin,which match the color of your natural teeth
- Can be used to close gaps between teeth or to make a tooth look longer
- Can enhance the overall appearance of your smile
- Durable and long-lasting
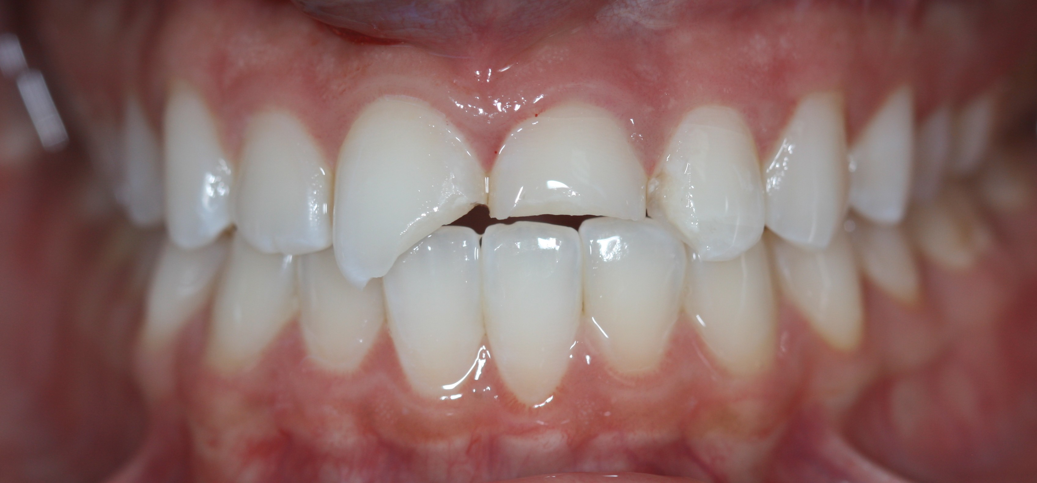
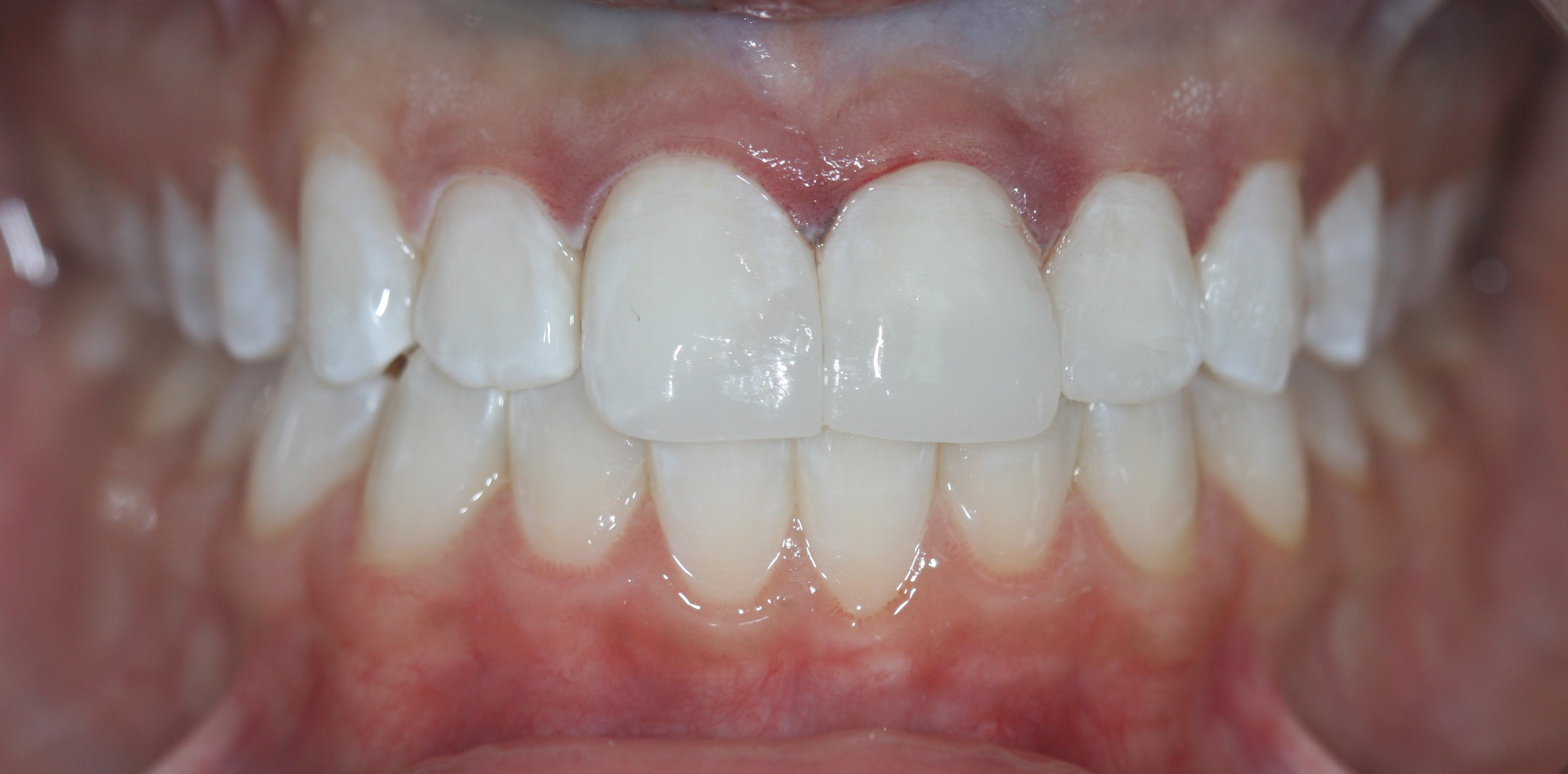
Case 1: Veneers
Before

After

Case 2: Veneers
Before

After

Case 3: Veneers and crowns
Before

->

->

->

After

Case 4: Ceramics veneers
Before

After


Case 5: Venners





Case 6:Resin Veeners


