Laser Bleaching or Whitening
With laser bleaching a dentist applies a peroxide solution to your teeth and then uses light or a laser to accelerate the whitening process. It takes approximately 1-2 hours to complete the procedure. The process involves no additional at home treatment.
Laser tooth whitening has a satisfaction rate of about 93%. The long-term results depend primarily on the individual. Certain habits, such as using tobacco products, drinking coffee, tea, dark soft drinks, and infrequent visits to the dentist may lessen results. As long as you receive regular professional care and use professional after care products (whitening paste, etc.) you should be able to maintain results for a period of 1-2 years.
- Laser tooth whitening is safe and will not soften enamel or existing fillings. The main ingredient in the gel that's used during the process is hydrogen peroxide. Dentists have used hydrogen peroxide solutions to whiten teeth for years. The percentage of hydrogen peroxide used in laser tooth whitening is 15%. This mixture is considered safe for all gum types and does not produce sensitivity.
Benefits
Teeth whitening offers benefits like: - Improved appearance
- Boosting confidence
- A youthful look by removing stains from cofee.aging,or smoking,often with quick results
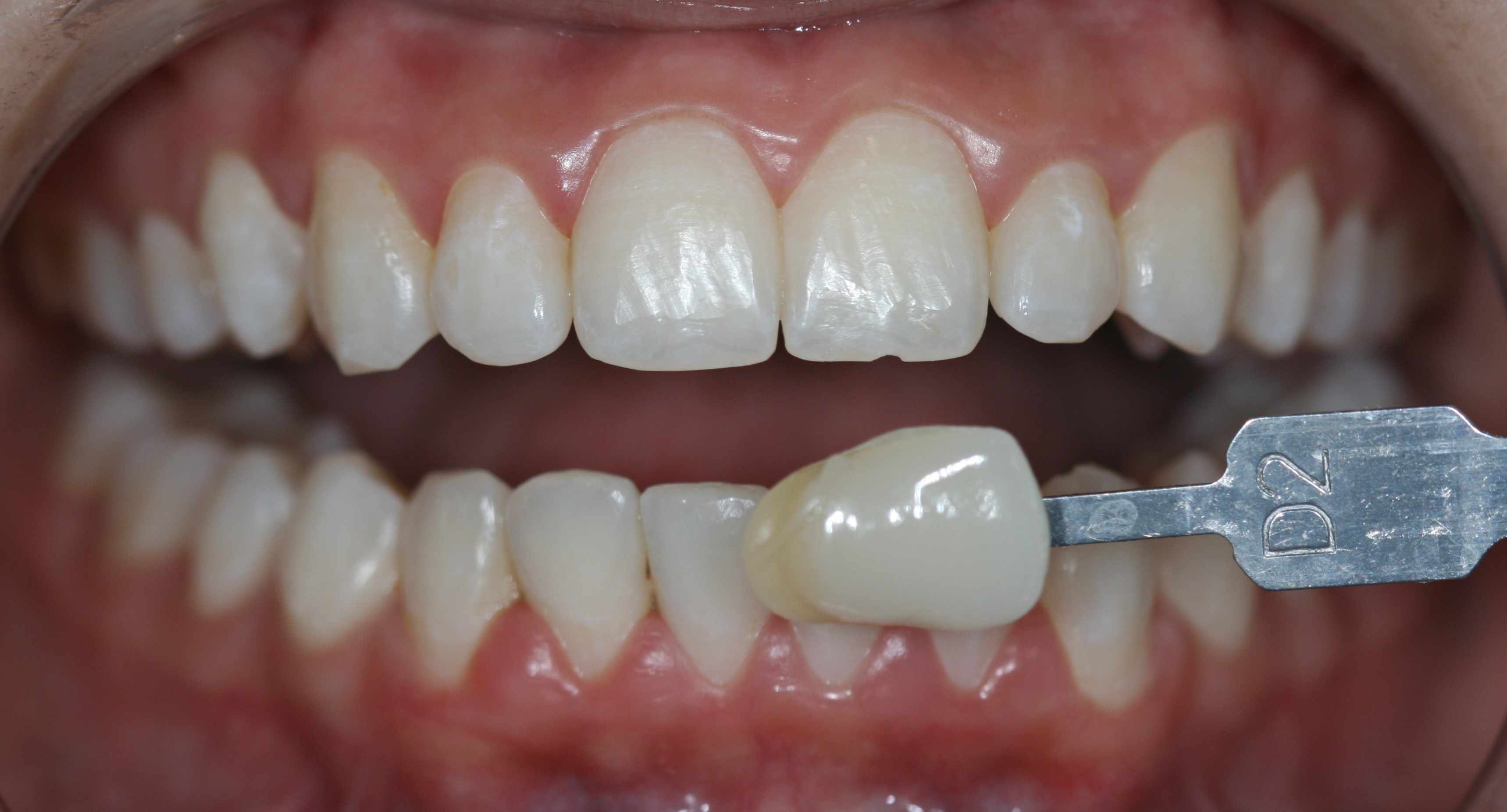
Case 1: Bleaching


Case 2: Whitening
Before

After

